Smile Gallery - Cook Periodontics

The proof is in our patients

dental patient smiling after procedure

Patient Gallery

BEFORE AFTER
  • Connective Tissue Graft
BEFORE AFTER
  • Laser Assisted Surgery
Before and After Radiograph of Regenerated Bone
BEFORE AFTER
  • Crown Lengthening
BEFORE AFTER
  • Crown Lengthening
BEFORE AFTER
  • Connective Tissue Graft

Single Tooth

BEFORE AFTER
  • List Item #1

Multiple Tooth

BEFORE AFTER
  • Single Anterior Implant
BEFORE AFTER
  • Single Anterior Implant
BEFORE AFTER
  • Frenectomy & Connective Tissue Graft
BEFORE AFTER
  • Free Gingival Graft
BEFORE AFTER
  • Connective Tissue Grafting

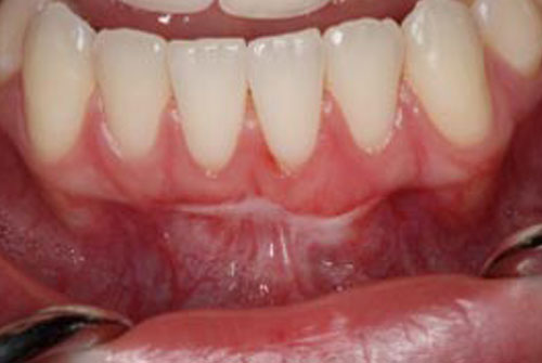
Cook Periodontics in Wilmington and Leland, NC specializes in gum grafting to treat recession. Also known as soft tissue grafting, this procedure is performed when there is major gum recession or exposed tooth roots. Tissue is taken from a healthy area of the mouth and then grafted to the area where it is missing or lacking.

BEFORE AFTER
  • Dental Implant

Cook Periodontics and Dental Implants in Wilmington and Leland, NC office a permanent solution to missing teeth. Dental implants are made of titanium which allows them to fully integrate with the jaw bone. The base of an implant acts like a real tooth and is rooted inside the bone and gums. A permanent crown is placed over the implant to restore chewing function. Dental implants require the same care as your natural teeth: daily brushing and flossing as well as regular, bi-annual dental check-ups or every 3-4 months as determined by your doctor.

BEFORE AFTER
  • Full Mouth Reconstruction

Cook Periodontics will work with a restorative doctor in or around Wilmington and Leland, NC to complete full mouth reconstructions.

Often when several teeth are badly broken down, we work in conjunction with a restorative dentist to rebuild and recreate a new smile. In most cases, this can be achieved with dental implants and/or crown lengthening and can result in teeth that feel and look natural.

We are accepting new patients in both our Wilmington and Leland offices!

Dr. Deana Cook, located in Wilmington and Leland, NC, is an experienced periodontist who serves patients from Castle Hayne, Porters Neck, Ogden, Leland, Wrightsville Beach, Carolina Beach, Southport, and Hampstead. Dr. Cook, along with our entire team, is looking forward to welcoming you to our office and encourage you to schedule your appointment today!